Paramus Dental Arts
Before & After Photos | Paramus Dental Arts | Paramus, NJ

Before & Afters Photos - Paramus, NJ

The Proof Is In Our Patients

patient smiling brightly while holding their before procedure smile

Before & After Photos

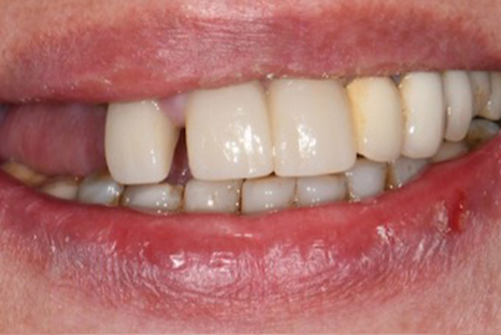
before dental procedure
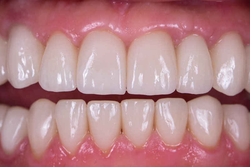
after dental procedure
Before
After
before dental procedure
after dental procedure
Before
After
before dental procedure
after dental procedure
Before
After
before dental procedure
after dental procedure
Before
After
before dental procedure
after dental procedure
Before
After
before and after close up of patient procedure results
before and after close up of patient procedure results
Before
After
before and after close up of patient procedure results
before and after close up of patient procedure results
Before
After
before and after close up of patient procedure results
before and after close up of patient procedure results
Before
After
before and after close up of patient procedure results
before and after close up of patient procedure results
Before
After
before and after close up of patient procedure results
before and after close up of patient procedure results
Before
After